Інформація призначена тільки для фахівців сфери охорони здоров'я, осіб,
які мають вищу або середню спеціальну медичну освіту.

Підтвердіть, що Ви є фахівцем у сфері охорони здоров'я.



Коморбідний ендокринологічний пацієнт

Коморбідний ендокринологічний пацієнт

Международный эндокринологический журнал Том 21, №7, 2025

Вернуться к номеру

Класифікація вогнепальних поранень щитоподібної залози

Авторы: Хорошун Е.М. (1, 2), Лурін І.А. (3, 4), Місюра К.В. (5), Макаров В.В. (1, 2), Негодуйко В.В. (1, 2), Бунін Ю.В. (1), Чернобіль Б.М. (1), Селюкова Н.Ю. (5, 6)
(1) - Військово-медичний клінічний центр Північного регіону, м. Харків, Україна
(2) - Харківський національний медичний університет, м. Харків, Україна
(3) - Національна академія медичних наук України, м. Київ, Україна
(4) - ДНУ «Центр інноваційних технологій охорони здоров’я» ДУС, м. Київ, Україна
(5) - ДУ «Інститут проблем ендокринної патології імені В.Я. Данилевського НАМН України», м. Харків, Україна
(6) - Національний фармацевтичний університет, м. Харків, Україна

Рубрики: Эндокринология

Разделы: Клинические исследования

Версия для печати


Резюме

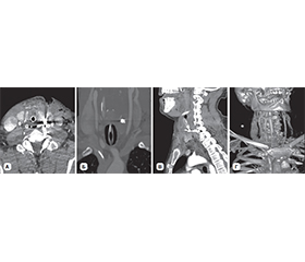
Актуальність. У статті проведений аналіз обстеження та лікування вогнепальних поранень шиї з ушкодженням щитоподібної залози (ЩЗ) за останні три роки в умовах Військово-медичного клінічного центру Північного регіону КМС ЗСУ. Мета: розробка та впровадження класифікації вогнепальних поранень шиї з ушкодженням ЩЗ. Матеріали та методи. Усі пацієнти були чоловічої статі, мали вогнепальні осколкові поранення шиї. Виконані лабораторні дослідження, ультразвукове дослідження шиї, мультиспіральна комп’ютерна томографія голови, шиї, органів грудної клітки та черевної порожнини, таза з контрастуванням та без, рентгенографічні дослідження органів грудної клітки та черевної порожнини, відеоезофагогастродуоденоскопія та відеобронхоскопія, електрокардіографія. Результати. Частота вогнепальних поранень шиї з ушкодженням ЩЗ за роками (2022, 2023, 2024) становить 5,2; 9,3; 8,7 %. Частота ушкоджень ЩЗ вогнепального походження за останні 2 роки збільшилась, що пов’язано із застосуванням противником дронів. У середньому, за нашими даними, ушкодження ЩЗ серед вогнепальних поранень шиї з ушкодженням порожнистих та паренхіматозних органів становить 7,5 %. Класифікація побудована на основі даних обсягу ушкодження, відповідної тактики лікування та можливої замісної гормональної терапії (якщо не було її призначено до поранення), які розподілені за класами. За обсягом ушкодження розподіл такий: І клас — забій ЩЗ, ІІ клас — поверхневе ушкодження (до 0,5 см глибиною), ІІІ клас — глибоке ушкодження, до 50 % частки, ІV клас — глибоке ушкодження, більше ніж 50 % частки, V клас — розтрощення ЩЗ. За класами частота ушкоджень ЩЗ розподілена: ІІ клас — 41,4 %, І клас — 34,3 %, ІІІ клас, клиноподібна або крайова резекція, резекція полюса або перешийка — 20,7 %, ІV клас, гемітиреоїдектомія — 3,4 %, V клас, тиреоїдектомія — 0 %. Усі поранення були осколковими. Ізольованих поранень ЩЗ не визначалось, що пов’язано з її анатомічним розташуванням. За тактикою лікування: ІІ клас, первинна хірургічна обробка рани — 41,4 %, І клас, консервативна терапія — 34,3 %, ІІІ клас — 20,7 %, ІV клас — 3,4 %, V клас — 0 %. Замісна гормональна терапія була в подальшому призначена пацієнтам з ІV класом. Середній термін лікування становив 10,2 ± 1,3 доби. Висновки. Вогнепальні поранення шиї з ушкодженням ЩЗ є рідкісною патологією. Запропонована класифікація дозволяє визначитися з лікувальною тактикою та прогнозом. Анатомічні та фізіологічні особливості ЩЗ повинні братися до уваги при оперативному лікуванні ЩЗ при її ушкодженні. Оперативні втручання з приводу ушкоджень ЩЗ слід проводити на рівні ROLE IV за наявності відповідних фахівців та обладнання.

Background. The article analyzes the examination and treatment of gunshot wounds of the neck with damage to the thyroid gland (TG) over the past 3 years in the conditions of the Military Medical Clinical Center of the Northern Region of the Medical Forces Command. The aim is to develop and implement a classification of gunshot wounds of the neck with damage to the TG. Materials and methods. All patients were male, had gunshot shrapnel wounds of the neck. Laboratory tests were performed, as well as ultrasound examination of the neck, multispiral computed tomography of the head, neck, chest and abdominal organs, pelvis with and without contrast, X-ray examinations of the chest and abdominal organs, video esophagogastroduodenoscopy and vi­deo bronchoscopy, electrocardiography. Results. The frequency of gunshot wounds to the neck with damage to the TG by years (2022, 2023, 2024) is 5.2, 9.3, 8.7 %. It has increased over the past 2 years, which is associated with the use of drones by the enemy. On average, according to our data, thyroid injuries among gunshot wounds to the neck with damage to hollow and parenchymal organs account for 7.5 %. The classification is based on the extent of the injury, appropriate treatment, and possible hormone replacement therapy (when it was not prescribed before the injury), which are distributed by class. The distribution by the extent of damage is as follows: сlass I — contusion of the TG, сlass II — superficial damage (up to 0.5 cm deep), сlass III — deep damage, up to 50 % of the lobe, сlass IV — deep damage, more than 50 % of the lobe, сlass V — crushing of the TG. The frequency of thyroid injuries is distributed by class: class II — 41.4 %, class I — 34.3 %, class III — wedge or marginal resection, pole or isthmus resection: 20.7 %, class IV — hemithyroidectomy: 3.4 %, class V — thyroidectomy: 0 %. All injuries were shrapnel. Isolated injuries of the TG were not identified, which is associated with its anatomical location. According to treatment, class II — primary surgical wound treatment: 41.4 %, class I — conservative therapy: 34.3 %, class III — 20.7 %, class IV — 3.4 %, class V — 0 %. Hormone replacement therapy was subsequently prescribed to patients with class IV. The average duration of treatment was 10.2 ± 1.3 days. Conclusions. Gunshot wounds of the neck with damage to the TG are a rare pathology. The proposed classification allows us to determine the treatment and prognosis. The anatomical and physiological features of the TG should be taken into account during surgical treatment for thyroid injury. Surgical interventions for thyroid injuries should be performed at the Role IV with the availability of appropriate specialists and equipment.


Ключевые слова

вогнепальні поранення шиї; ушкодження щитоподібної залози; класифікація

gunshot wounds of the neck; thyroid injury; classification


Для ознакомления с полным содержанием статьи необходимо оформить подписку на журнал.


Список литературы

  1. Holcomb JB, Rauch TM 2nd, Dittlinger S, Dorlac WC, Hamm TE, Rauch TM, West TA, Polk TM. Assessment and training of Ukrainian trauma and combat casualty care via international symposia. J Trauma Acute Care Surg. 2025 Aug 1;99(3S Suppl 1):S150-S156. doi: 10.1097/TA.0000000000004722. Epub 2025 Jul 15. PMID: 40668277.
  2. Sobko I, Sivash I, Rogovskyi V, Koval B, Slobodianiuk A. Surgical management of retroperitoneal vascular injuries in combat abdomi–nal trauma: Experience at Role 2 facilities during the war in Ukraine. J Trauma Acute Care Surg. 2025 Aug 1;99(3S Suppl 1):S91-S98. doi: 10.1097/TA.0000000000004716. Epub 2025 Jul 25. PMID: 40712042.
  3. Matolinets NV, Kovtuniak OS, Samchuk OO, Nebor I, Holcomb JB, Hnat HI. Perioperative Management of Complex Mandi–bular Combat Trauma. J Trauma Acute Care Surg. 2025 Aug 1;99(3S Suppl 1):S179-S184. doi: 10.1097/TA.0000000000004719. Epub 2025 Jun 30. PMID: 40587299.
  4. Lurin IA, Khoroshun EM, Panasenko SI, Makarov VV, Negoduiko VV, Shypilov SA, Kerbazh NR. Temporary compression of the aorta in combat surgical trauma. World оf Medicine аnd Biology. 2024;4(90). doi: 10.26724/2079-8334-2024-4-90-88-92.
  5. Khoroshun E, Khomenko I, Shipilov S, Makarov V, Nehoduiko V, Petiunin O. Experience of surgical treatment of combat pancreatic trauma. Emergency Medicine. 2025;20(8):725-729. https://doi.org/10.22141/2224-0586.20.8.2024.1808.
  6. Hwang K, Park CY. Lessons from foreign military surgeons in the Korean War: advancing trauma surgery and preparing for future conflicts. J Trauma Inj. 2025 Jun;38(2):103-110. doi: 10.20408/jti.2025.0041. Epub 2025 Jun 16. PMID: 40523625; PMCID: PMC12229808.
  7. Boychak M. Battle-field therapy or military therapy, battle-field surgery or military surgery? Ukrainian Journal of Military Medicine. 2020;1(1):73-83. https://doi.org/10.46847/ujmm.2020.1(1)-073.
  8. Tang L, Zhang YH, Du SH, Wang XQ. Prevalence and related factors for neck pain in military personnel: a systematic review. EFORT Open Rev. 2024 Aug 1;9(8):806-816. doi: 10.1530/EOR-23-0150. PMID: 39087493; PMCID: PMC11370721.
  9. de Régloix SB, Baumont L, Daniel Y, Maurin O, Crambert A, Pons Y. Comparison of Penetrating Neck Injury Management in Combat Versus Civilian Trauma: A Review of 55 Cases. Mil Med. 2016 Aug;181(8):935-40. doi: 10.7205/MILMED-D-15-00434. PMID: 27483537.
  10. Skoroplit S, Mykhnevich KG, Zamyatin PM, Khoroshun EM, Borodai VO, Tertyshny SV, et al. Features оf Combat Trauma аnd Organization оf Medical Care. Kharkiv Surgical School. 2022;(6):51-63. https://doi.org/10.37699/2308-7005.6.2022.10.
  11. Grabo D, Polk T, Minneti M, Inaba K, Demetriades D. Brief report on combat trauma surgical training using a perfused cadaver model. J Trauma Acute Care Surg. 2020 Aug;89(2S Suppl 2):S175-S179. doi: 10.1097/TA.0000000000002737. PMID: 32301887.
  12. Boyko VV, Lisovoy VM, Makarov VV, et al. Selected lectures on military field surgery. Kharkiv, NTMT, 2018. 212 p. (in Ukrainian)
  13. Gumenyuk KV, Korol SO, Hybalo RV. Guidelines for military field surgery. Kyiv: Lyudmila Publishing House, 2024. 572 p. (in Ukrainian)
  14. Advanced Trauma and Surgery. 1st ed. 2017 by Xiaobing Fu, Liangming Liu. Springer, 2017. 466 p. 
  15. Emergency Surgery Course (ESC®) Manual: The Official ESTES. AAST Guide. 2016. 252 p.
  16. Lurin I, Khoroshun E, Seliukova N, Rekhviashvili M, Makarov V, Boiko M, et al. The hormonal status of male combatants depending on the volume of body wounding. International Journal оf Endocrinology (Ukraine). 2024;20(5):349-356. https://doi.org/10.22141/2224-0721.20.5.2024.1419. (in Ukrainian)
  17. Modeling of gunshot wounds. Under the general editorship of V.I. Tsymbalyuk. Kharkiv: Publishing house, 2022. 322 p. (in Ukrainian)

Вернуться к номеру